지난 포스팅에 척추측만증의 원인과 분류, 진단방법에 대해 알아보았다.
https://museongnam.tistory.com/7
이번 포스팅에서는 척추측만증의 치료와 보조기 착용에 대해서 알아 보겠다.
척추측만증의 치료
척추 측만증의 치료에는 비수술적 치료와 수술적 치료 두가지 방법으로 나뉜다.
비 수술적 치료
비 수술적 치료에는 나중에 다시 설명할 보조기 착용과 카이로 프랙틱 교정법, 전기 자극 치료, 물리 치료 등의 방법이 있다.
카이로프랙틱 교정법은 그리스어로 손을 뜻하는
'Chiro-'와 'Practice'의 합성어로 물리적인 충격이나 척추 퇴행 등에 의해 압박된 곳을 수술이나 약물치료 없이 손으로 교정하여 자연 치료하는 것이다.
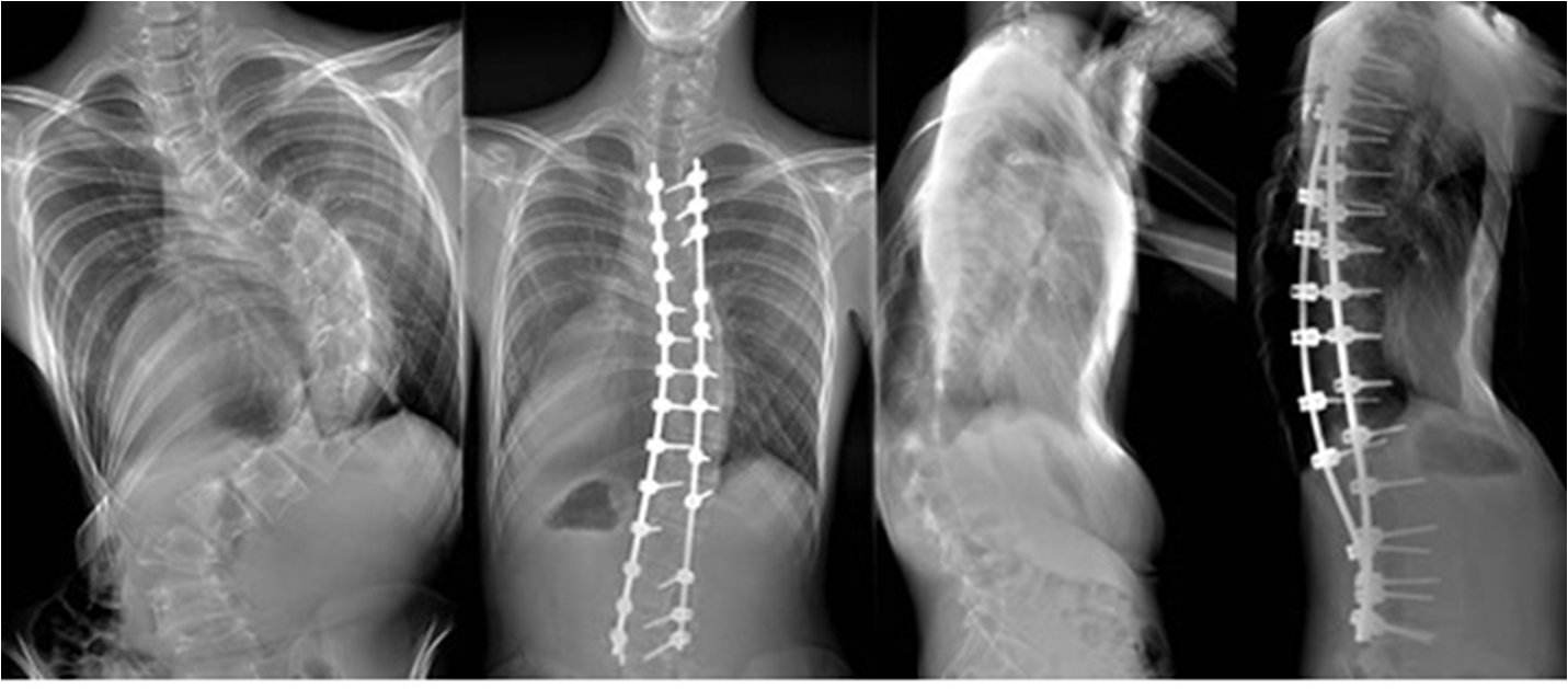
수술적 치료
Cobb's각이 40도 이상일때 시도하며 키의 성장이 남아있고 측만증이 급속히 악활 될 때 교정력 60~70%를 목표로 수술을 시행 한다. 수술후 수술부위는 성장이 멈추고 구부리고 펴는 기능을 상실하게 된다.

척추측만증의 보조기 착용
비수술적 치료 방법인 보조기 착용에 대해 설명하자면 측만을 교정하지는 못하나 예방 및 억제를 위해 착용하게 된다.
보조기를 착용하지 않으면 1~2년 후 원상 복귀 되고 키의 성장이 멈출때 까지만 착용하게 된다.

보조기 착용 방법으로는 23시간 착용법과 16시간 착용법, 8시간 착용법이 있는데
23시간 착용법은 운동, 목욕시간을 제외하고 항상 착용하는 것으로 가장 효과가 좋고 권장하는 방법이다. 16시간 착용법은 보조기로 인한 외관상의 문제 때문에 사회 활동을 제외한 시간에 착용하는 방법이다. 8시간 착용법은 잠자는 시간만 착용하는 방법이다.
보조기 착용 중지 시기로는 유방, 성기 및 치모의 발달하면 중지하고, Risser Grade 4단계 이상일 때, 착용시간을 점차 줄이며 중지 하게 된다.
Risser Grade란 Pelvis의 iliac crest부분이 골단이 자라난 정도의 단계로 남은 성정과 곡선의 진행 위험 평가를 결정하는 도구로 쓰인다.
Risser Grade가 낮을 수록 진행이 빠르다.


이렇게 척추측만증의 치료방법에 대해 알아 보았다.
짧은 내용이지만 도움 되셨으면 좋겠다.
함께보면 좋은 글
https://museongnam.tistory.com/7
댓글